Hidrocefalia
Médico especialista en cirugía cerebral y cirugía Vertebral en Tijuana
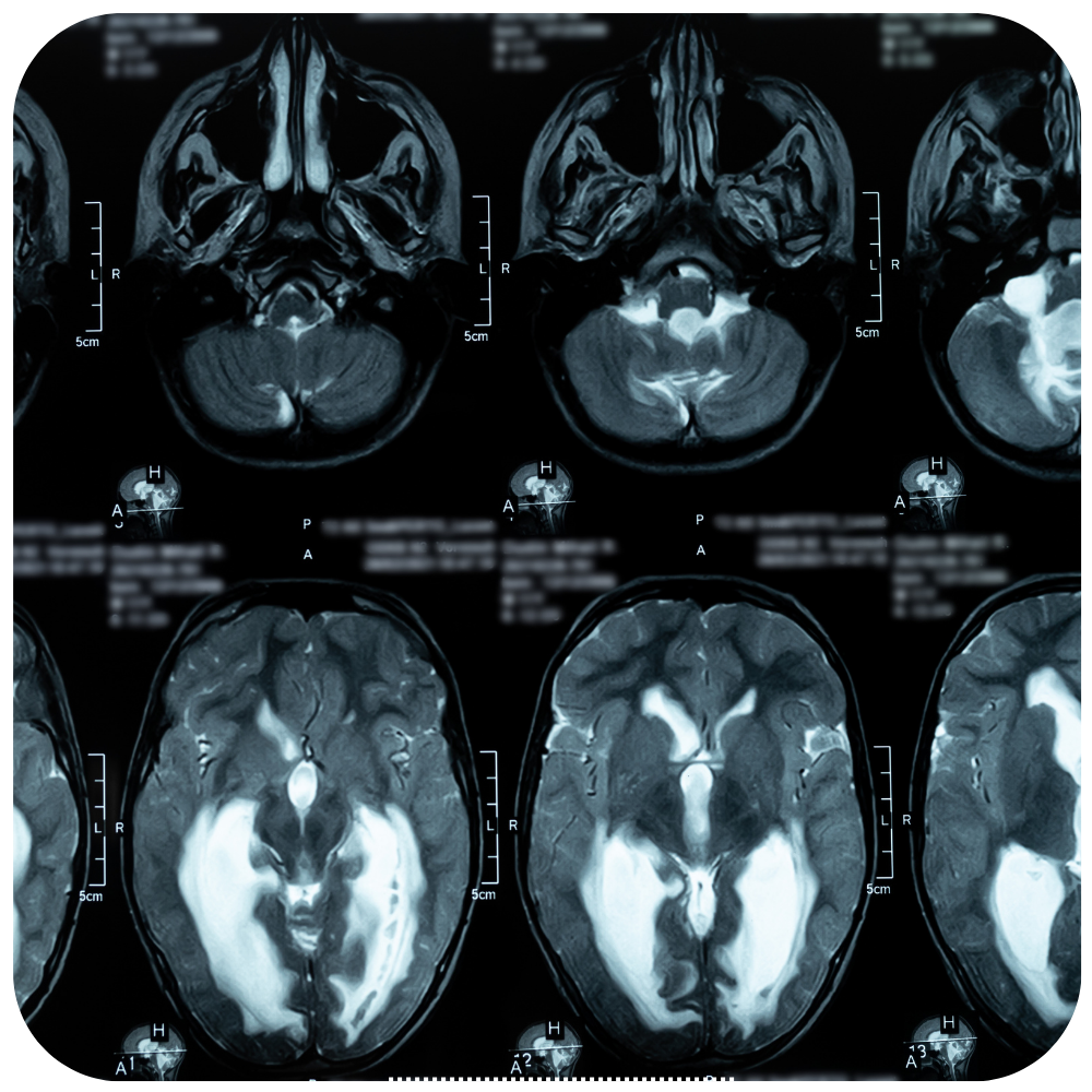
Hidrocefalia es la acumulacion de liquido cefalorraquideo dentro del sistema nervioso y que se caracteriza por dolor de cabeza, náusea, vómito, visión borrosa y somnolencia; lo cual se trata mediante la colocación de una válvula ventrículo peritoneal.


