Hidrocefalia congénita
Médico especialista en Cirugía Cerebral Tijuana y Cirugía de Columna Vertebral
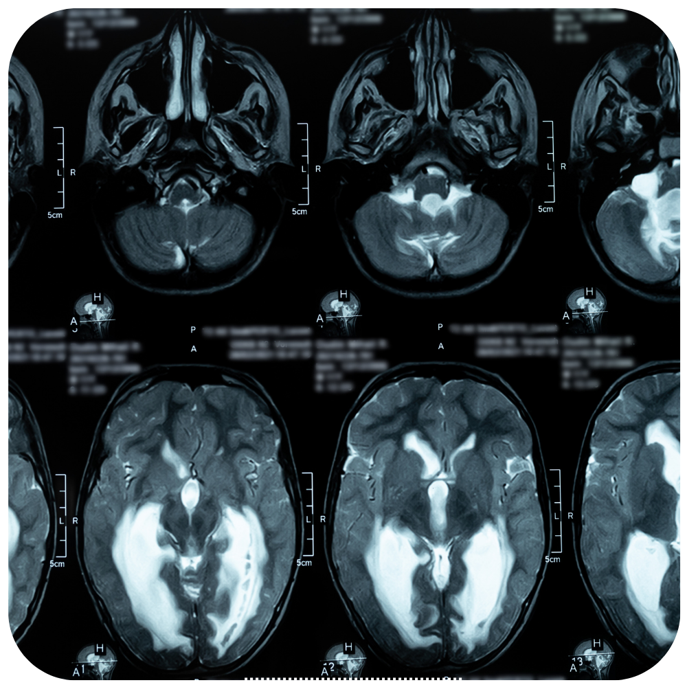
Hidrocefalia congénita. Acumulación de liquido en las cavidades del cerebro el cual hace que aumente la presión intracraneal y puede ocasionar daño cerebral.
Su tratamiento consiste en la derivación del líquido hacia otra cavidad, generalmente peritoneal, mediante la colocación de una sonda de derivación.


