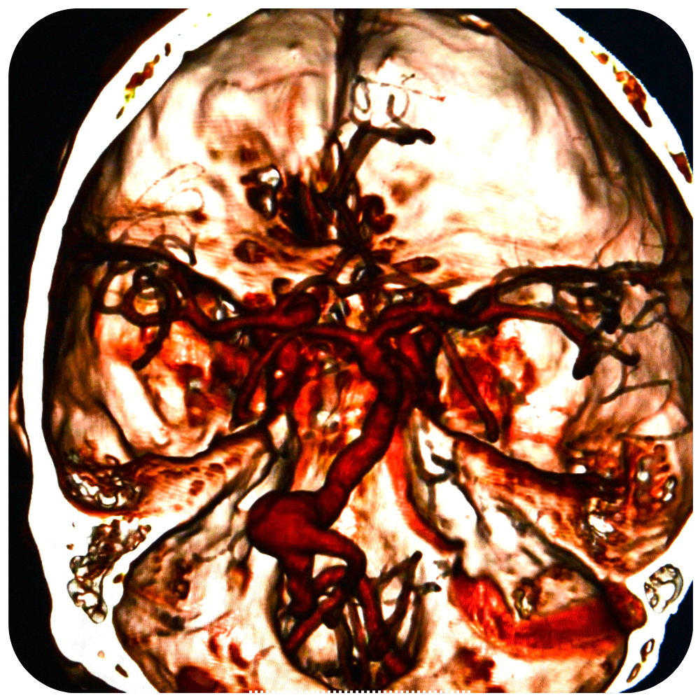
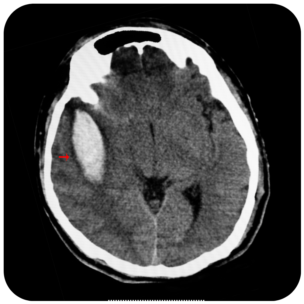
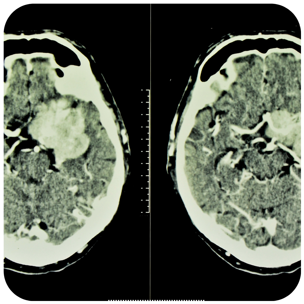
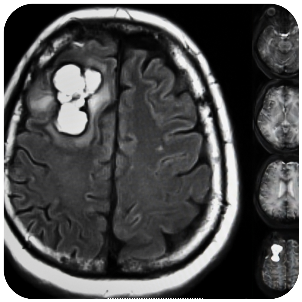
Craneotomía
Craneotomía Operación en la que se extrae un pedazo del cráneo. Una craneotomía se realiza para que los médicos puedan extraer un tumor o tejido anormal del cerebro. También se puede realizar para extraer sangre o coágulos del cerebro, aliviar la presión en el cerebro después de una lesión o…












